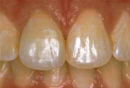
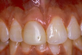
Before: Front (left) Central tooth has a poor restoration. Does not look natural and is
not contoured properly to match the gumline of the rest of the teeth.
After: Replaced with an
All Porcelain Crown (no metal). Tooth is now contoured to match the rest of the gumline. Restored
tooth looks very natural and matches the shape and color of the patient's teeth.
Patient Photos Depicting:
Crowns (Caps)Porcelain Crowns (Caps)
Note: Patients depicted in photos have provided their consent to display their pictures online. Results may vary.
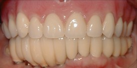
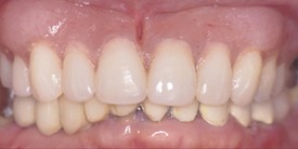
Before: Patient needs Upper Arch Rehabilitation. Presents with Upper Anterior teeth that
are stained, incisal edges (tooth edge) are worn down and chipped, and gumline recession is
present.
After: Smile restored with placement of 8 Upper All Porcelain Crowns (Caps). Gumline
and incisal edges are now uniform. Patient now has longer, better shaped teeth to enhance the smile
line and aid in chewing/biting function.
Patient Photos Depicting:
Porcelain Crowns (Caps)Note: Patients depicted in photos have provided their consent to display their pictures online. Results may vary.
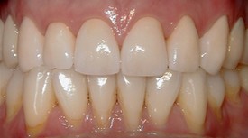
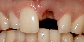
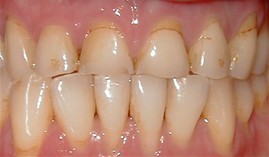
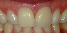
Before: Patient needs a Single Tooth Replacement of one Upper Central
Incisor.
After: Smile and function restored with a Single Implant and an All Porcelain Crown
(Cap) that fits securely over the implant.
Patient Photos Depicting:
Crowns (Caps)Dental Implants
Porcelain Crowns (Caps)
Note: Patients depicted in photos have provided their consent to display their pictures online. Results may vary.
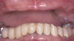
Before: Patient needs Upper and Lower Arch Rehabilitation.
After: Great smile,
chewing function, and facial tissue support possible with an Upper Denture that is supported with
Implants and Lower Implants and Crowns.
Patient Photos Depicting:
Crowns (Caps)Dental Implants
Dentures & Partial Dentures
Porcelain Crowns (Caps)
Note: Patients depicted in photos have provided their consent to display their pictures online. Results may vary.
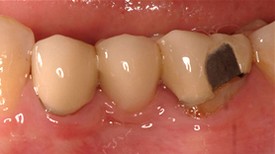
Before: 3 Unit bridge with chipped porcelain molar (supporting metal showing on molar
tooth), poor enamel color match to patient's natural teeth, and poor fit around the patient's
gumline.
After: Replaced Bridge with an All Porcelain Bridge. The new bridge now also
matches the patient's natural tooth color and was designed to properly fit around the gumline.
Proper fit aids in decreasing decay and the ease of the patient's ability to clean around a bridge.
Patient Photos Depicting:
Fixed BridgesPorcelain Fixed Bridges
Note: Patients depicted in photos have provided their consent to display their pictures online. Results may vary.

Email: [email protected]
Address:
Southdale Dental, Shop 8, E. Southdale Plaza, 3 South Ave, Kingston 10, Jamaica, West Indies, 00010
Working Hours
- MON - THU8:30 am - 4:30 pm
- FRI - SAT8:30 am - 2:00 pm
- SUNClosed